Импланты в Хуньчуне
Надёжная эстетика премиум-класса — по международным протоколам и с корейской точностью.
Длинный текст об имплантах. Donec aliquam felis et libero scelerisque, at imperdiet justo sagittis. Donec accumsan convallis lorem, vel feugiat tellus eleifend sed. Duis non porttitor mauris, a suscipit odio. Curabitur tortor ligula, tempor in varius ut, imperdiet eu ligula. Pellentesque at mattis magna. Donec aliquam felis et libero scelerisque, at imperdiet justo sagittis. Donec accumsan convallis lorem, vel feugiat tellus eleifend sed. Duis non porttitor mauris, a suscipit odio.
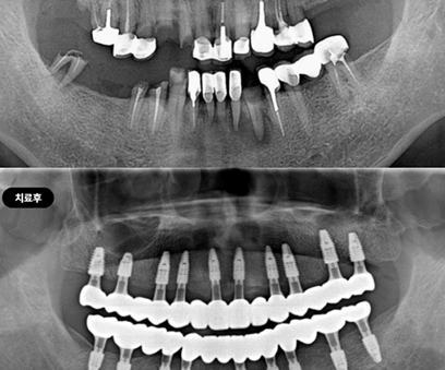
Вторичная имплантация: даём второй шанс
Не каждая клиника готова качественно справиться с полной реконструкцией зубного ряда. Это сложная операция, требующая системного подхода.
В нашей клинике используется цифровая система планирования, что позволяет точно спланировать место установки каждого импланта, минимизировать хирургическое вмешательство и сразу же установить индивидуальные протезы.
 1.jpg)
Сложные случаи: полная имплантация
Donec aliquam felis et libero scelerisque, at imperdiet justo sagittis. Donec accumsan convallis lorem, vel feugiat tellus eleifend sed. Duis non porttitor mauris, a suscipit odio.
Donec accumsan convallis lorem, vel feugiat tellus eleifend sed. Duis non porttitor mauris, a suscipit odio.
 1.jpg)
Примеры работ
Хуньчунь Инфо
Идеальная улыбка от профессионалов - всего за 3 дня!
Запишитесь на бесплатную онлайн-консультацию уже сегодня!

Наши врачи

ортопедия
Ли Кван Хён
Опыт работы 12 лет
- Директор Больницы Университета Ханянг
- Доктор медицинских наук Университета Ханянг
- Академические премии за лучшую научную публикацию от Корейской ассоциации хирургии кисти

ревматология
Бэ Санг Чул
Опыт работы 23 лет
- Директор Ревматологической больницы Университета Ханянг
- Выпускник медицинского института Университета Ханянг
- Стажировка и степень магистра Здравоохранения в женской больнице «Бригама» при Гарвардском Университете, США

ортопедия
Вика Боя
Опыт работы 34 лет
- Доктор медицинских наук Университета Ханянг
- Академические премии от Корейской ассоциации микрохирургии









